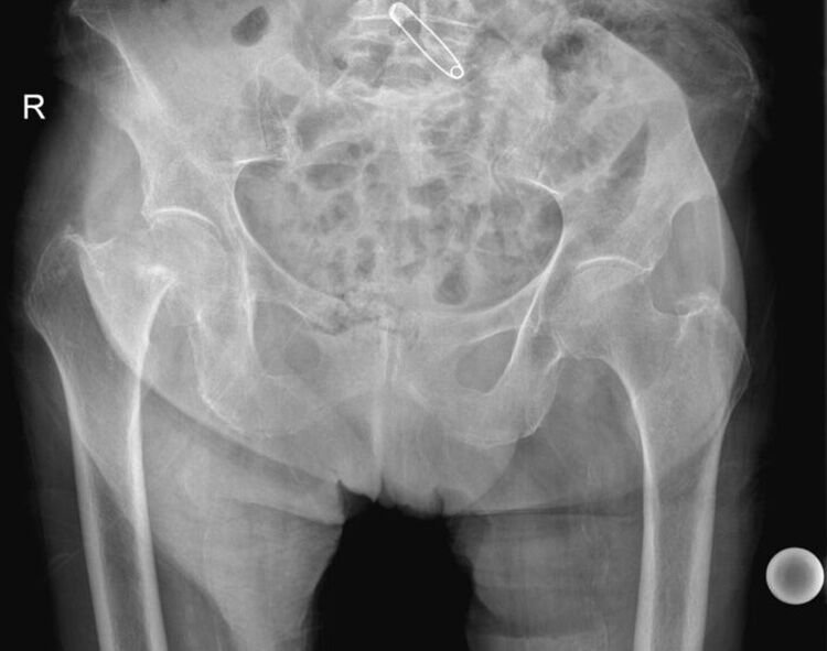
Διατροχαντήριο κάταγμα οστεοσύνθεση με ήλο
74χρονη ασθενής είχε μια πτώση όπως έβγαινε από το αυτοκίνητο. Κατά την πτώση υπέστηενα διατροχαντήριο κάταγμα του δεξιού μηριαίου. Διακομίστηκε στο τμήμα επειγόντων περιστατικών όπου και διαπιστώθηκε το κάταγμα μετά από
Διαβάστε περισσότερα









