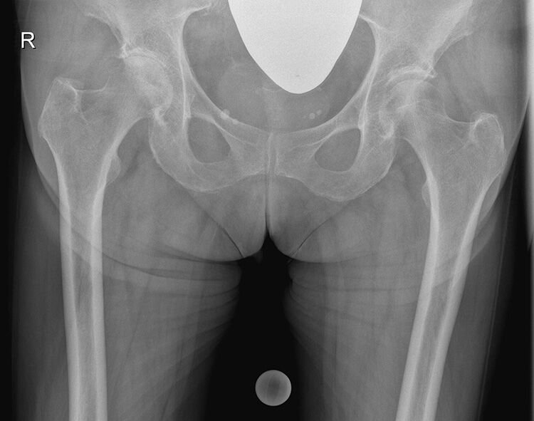
Αρθροπλαστική ισχίου με τσιμέντο στην κοτύλη
Ανδρας 67 ετων συνταξιούχος με προστατεκτομή και ακτινοθεραπεία πριν 4 χρόνιαπροσήλθεμε εντονο πόνο και δυσκαμψία του δεξιού ισχίου! Ο ακτινολογικος έλεγχος εδειξεοστεοαρθρίτιδα. Εξαιτίας του πόνου αποφασίστηκε να γίνει αρθροπλαστική ισχίου. Λογω
Διαβάστε περισσότερα










